学院概况
About学院概况
About新闻公告
News师资队伍
Faculty科学研究
Research教学工作
Teaching学生事务
Student学院招生
Admission招聘信息
Careers 近日,我院高毅教授团队和腾讯安全平台部合作研发并上线了“MedCAPTCHA 医学图像验证码”的公益实践项目。此项目是安全验证技术与医学的“跨界融合”,双方合作团队期望运用技术的力量,解决社会医疗流程和资源存在的痛点,让医疗影像的标注和诊断变得更加高效和准确,进而减少病人延误诊断或漏诊的情况。
一直以来,我们上网都会遇到的一个操作就是输入验证码来登录账户,我们常见的各式各样的验证码是长下面这样子的……

最近,腾讯防水墙上线了一种由黑白灰图片构成的验证码,乍一看,它们缺乏美感,略显沉闷、单调。

再者,从用户体验角度考虑,是一次极其大胆的尝试。但实际上,我们所看到的这些验证码图片,全都来自于临床上的真实医学图像。
验证码原本是一种人机识别手段,其主要作用是防止垃圾注册、刷量刷票、论坛灌水等恶意行为。从安全角度出发,其主要意义是降低某一些用户用特定程序暴力破解方式进行网站登录,获取相关验证用户的信息,保证用户的信息安全。
使用医学图像的“奇思妙想”

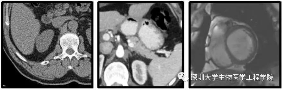
临床上有许多色彩单一、形状难辨的图片,蕴含着关于人类身体与疾病的生命密码,像这样的医学图像,是医学诊疗和研究的“路标”,可以提供给医生丰富的医学疾病信息。在医学上,90%的临床诊断需要借助经过标注的医学影像——病灶和相关器官的有效标注数据,能帮助医生在疾病诊断、病情评估、发展趋势预测、治疗策略制定等方面,提供重要的定量化信息。被标注的医学图像,融入了专家的经验知识与判断,能够缩减广大医务人员的重复工作和劳动时间,极大推动医学研究和临床诊疗的高效开展。
医学勾画难题
而现阶段对于有限的医务人力资源而言,医学图像的勾画标注工作是一项相当庞大而复杂的工作。举个例子,一家普通医院的放射科每天需要接待数百个病人,一般患者查诊肿瘤或是放射治疗都需要对其医学图像做特定的器官勾画。而仅仅是针对单个病人的一组医学图像,简单的需要半小时完成勾画,复杂的则要花上一两小时。
面对“帮助患者”这个艰难的任务,医务人员需要付出远超寻常的心力。
尽管在过去的四十年中,学术界和工业界的研究人员研发了大量基于人工智能辅助的半自动甚至全自动的标注算法,但是这些算法模型,往往需要经过足够多的标注医学图像数据训练,才能达到普适性更强、准确度更高的分类或诊断效果。目前该领域发展的一大掣肘,便是标注数据的数量和质量。
因此,获取海量具有准确标注的医学图像数据,是困难而迫切的需求。仅仅依赖少数专业医务者或医学研究人员的力量,远远不够。
广众网民的小行动与大力量
据公开数据统计,全球网民每日累计输入验证码近 2 亿次。假设每人每次花费 10 秒,那么人类每天花在验证码上的时间已经超过了 50 万小时。截至 2020 年 6 月,我国网民规模达到 9.4 亿。如果借助我国庞大网民群体的力量,就能完成海量的医学图像标注。
基于这个想法,深圳大学高毅教授团队和腾讯安全平台部合作研发并上线了“MedCAPTCHA 医学图像验证码”的公益实践项目。项目中,研发人员把医学院提供的未经标注的海量医学图像,以图片验证码的形式投放上线,以借助大众网民勾画的小动作,集中大力量来对这些医学图像进行勾画标注。
在安全验证环节中,用户只需要参照给出的图片示例“照猫画虎”,移动鼠标在图片上进行简单勾画,就能完成在线验证,同时也顺便提供了医学图像标注答案。

对于收集到的图像标注信息,专业医学研究人员会在后台进行融合和筛选处理,最终将质量最优的数据提供给大数据工作者和医生群体。因此,即使是不具备专业医学知识的普通网民,也能在医学图像标注工作中起到至关重要的作用。
MedCAPTCHA 医学图像在线验证方式,提供了一种全新的思路来进行安全验证交互。一方面,该模式构造起大规模合作来获得海量的医学影像的定量化标注和数据,为公共医疗统计、精准医疗分析提供可靠的、核心的影像特征基础;另一方面,人工识别标注的结果,反过来也可以成为机器学习的训练样本,促进医疗领域人工智能的应用。

最终,我们可以达到以大规模协同合作的形式,通过验证码检测的形式来获取大量的图像标注,互惠多方,推动大数据时代发展的目的;通过深圳大学与腾讯安全平台部的合作,目前已经实现的验证码安全交互平台展示如下:
目前,在初期小范围实验上线后,已有近万名用户在腾讯防水墙官网参与体验了 MedCAPTCHA 医学图像验证码,累计贡献了近 2 万条正确标注并通过测试的医学图像数据。
在救死扶伤这个命题里,效率永远是最重要的考虑因素之一。在疾病与死亡面前,时间宝贵而奢侈。早一天发现病症所在,早一秒进行科学诊疗,就能为生命带来多一分希望。通过这次安全验证技术与医学的“跨界融合”,团队期望运用技术的力量,解决社会医疗流程和资源存在的痛点,让医疗影像的标注和诊断变得更加高效和准确,进而减少病人延误诊断或漏诊的情况。
如若愿意,请您花费 10 秒钟时间,尝试勾画,为医学研究贡献一份力量。https://007.qq.com/medicine/static/html/tiyan.html
未来我们平台考虑的拓展方向:
(1)多数据集分割:加入更多的数据来进行勾画尝试,和广众网民一同挖掘更多的可能性。
(2)数据识别分类:加入数据识别和分类选择,如细胞分类,让勾画内容更加有趣且丰富。
(本研究医学数据均来自公有域数据,不涉及任何深圳大学医学部、总医院及和高毅教授团队合作的任何医院数据。)
鸣谢单位:深圳大学、腾讯公司